09 May Investigadores de Tel Aviv utilizan tecnología de nanofármacos de ARN para detener la división celular del cáncer de ovario
Los nanofármacos de ARN, basados en la proteína CKAP5, atacan células cancerosas resistentes a tratamientos convencionales.

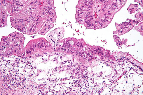
Micrografía de aumento intermedio de un tumor de ovario mucinoso de bajo potencial maligno (LMP). Tinción H&E. La micrografía muestra: epitelio mucinoso simple (derecha) y epitelio mucinoso pseudoestratificado (izquierda – diagnóstico de un tumor LMP). En la parte superior de la imagen se ve el epitelio en una arquitectura similar a una fronda. Foto: Wikipedia – CC BY-SA 3.0
Los científicos esperan que, al enfocarse en proteínas específicas, puedan desarrollar tratamientos para pacientes con cánceres metastásicos resistentes a la quimioterapia y la inmunoterapia.
Los investigadores han utilizado con éxito nanofármacos de ARN para atacar y silenciar un gen que codifica una proteína que causa la metástasis del cáncer de ovario.
Este avance logrado por un equipo de investigación de la Universidad de Tel Aviv, dirigido por el Prof. Dan Peer de la Escuela de Biomedicina e Investigación del Cáncer Shmunis, brinda esperanza para un posible tratamiento para cánceres agresivos y metastásicos resistentes a la quimioterapia y la inmunoterapia.
A nivel mundial, el cáncer de ovario afecta a 1 de cada 78 mujeres y es la quinta neoplasia maligna más mortal en las mujeres. Sin embargo, la prevalencia de las mutaciones BRCA1 y BRCA2 (genes que inhiben los tumores malignos (cáncer) en los seres humanos. Cuando estos genes cambian (mutan), no inhiben los tumores como deberían. Así que las personas con mutaciones en estos genes corren un mayor riesgo de presentar cáncer) entre las mujeres judías Ashkenazi hace que sea más probable que desarrollen la enfermedad. Una mujer con la mutación BRCA1 tiene un riesgo estimado de 39 a 46 por ciento de desarrollar cáncer de ovario a los 70 años.
No existe un método de detección confiable para el cáncer de ovario y los síntomas a menudo pasan desapercibidos, lo que generalmente conduce al diagnóstico en etapas avanzadas de la enfermedad, cuando ya se ha diseminado a otros órganos. Cuando se trata de tasas de supervivencia, el 93 % de las mujeres a las que se les diagnostica cáncer de ovario en una etapa temprana pueden esperar vivir al menos cinco años, pero solo el 31 % de las diagnosticadas en una etapa avanzada pueden esperar vivir tanto tiempo.
Peer y su equipo decidieron abordar un mecanismo muy básico en los tumores cancerosos: la división celular descontrolada.
“Decidimos bloquear este proceso de división silenciando un gen especial que codifica una proteína especial que es responsable de esos cambios en la división celular”, dijo.
La proteína específica es CKAP5 (proteína asociada al citoesqueleto), que es producida por una mutación genéticamente inestable resistente tanto a la quimioterapia como a la inmunoterapia en los tejidos del cáncer de ovario. Los científicos se dirigieron a las células de cáncer de ovario con metástasis con nanopartículas lipídicas que contenían ARN para silenciar CKAP5. Esto hizo que las células colapsaran y logró una tasa de supervivencia del 80% en modelos animales (ratones).
El efecto del silenciamiento de CKAP5 fue evidente por la detención de la división celular en células de cáncer de ovario, mientras que las células de control normales no se vieron afectadas.
“Esto muestra que la citotoxicidad es específica solo para las células con anomalías cromosómicas elevadas, un sello distintivo de las células de cáncer de ovario, ausente en las células normales no cancerosas, lo que destaca a CKAP5 como un objetivo único y atractivo”, dijo la Dra. Rachel Michaelson-Cohen, obstetra y ginecóloga. y el director de la unidad de genética prenatal en el Centro Médico Shaare Zedek, de la Universidad Hebrea de Jerusalén.
Peer confirmó que tiene la intención de probar el silenciamiento de CKAP5 en una variedad de otros tipos de cáncer.
El objetivo final es no solo silenciar los genes que causan la metástasis del cáncer de ovario y de otro tipo, sino también eliminarlos completamente del genoma (El conjunto completo de ADN -material genético- en un organismo. En los seres humanos, casi cada célula contiene una copia completa del genoma. El genoma contiene toda la información necesaria para que una persona pueda crecer y desarrollarse). Esto significaría la diferencia entre los tratamientos continuos regulares y la capacidad de detener la enfermedad en seco con solo una o dos dosis de un nanofármaco de ARN.
Fuente: Aurora Digital
https://aurora-israel.co.il/investigadores-de-tel-aviv-utilizan-tecnologia-de-nanofarmacos-de-arn-para-detener-la-division-celular-del-cancer-de-ovario/
