31 Ene La tecnología de MedyMatch para localizar hemorragias cerebrales recibe visto bueno de la FDA (Administración de Alimentos y Medicamentos) para su rápida aprobación
Enero 31 2018
El software de la nueva empresa de Tel Aviv es el primero en obtener la Designación de Innovación de la FDA para un dispositivo médico basado en inteligencia artificial, dice la compañía

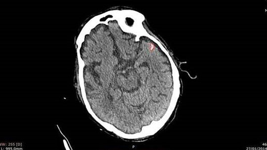
Imagen de la evaluación de MedyMatch de Israel del accidente cerebrovascular. (Cortesía)
MedyMatch Technology Ltd., una nueva empresa israelí cuyo software ayuda a los médicos a realizar evaluaciones más precisas sobre derrames cerebrales y hemorragias intracraneales, dijo el lunes que la Administración de Alimentos y Medicamentos de los Estados Unidos (FDA por sus siglas en inglés) le otorgó una designación especial que agilizará el proceso de aprobación de su tecnología.
La compañía dijo que la FDA le otorgó la Vía de Acceso Expedito y la Designación Dispositivo Innovador para la detección de hemorragia intracraneal.
El software desarrollado por la nueva empresa basada en Tel Aviv, basado en el aprendizaje profundo y la inteligencia artificial, puede analizar automáticamente imágenes de tomografías computarizadas sin contraste, que son las exploraciones estándar utilizadas para la evaluación inicial de posibles hemorragias intracraneales en hospitales y salas de emergencia. Usando algoritmos, el software puede identificar y alertar a los médicos sobre la presencia de ICH en estos escaneos. Esto permite a los médicos determinar rápidamente si hay una hemorragia o no; el tiempo es esencial porque durante cada minuto que pasa, las células cerebrales mueren.
«Esta designación de la FDA está reservada para dispositivos innovadores: una nueva pieza de tecnología que brinda una solución a una necesidad no satisfecha», dijo Gene Saragnese, presidente y director ejecutivo de MedyMatch, en una entrevista telefónica. «Nuestra tecnología es el primer software intracraneal en obtener esta designación y creemos que la nuestra es la primera aplicación basada en inteligencia artificial en recibir esta designación de innovación».

Imagen ilustrativa de cirujanos operando (Ridofranz, iStock de Getty Images)
«Significa que la tecnología que hemos desarrollado es importante», dijo. El dictamen significa que los funcionarios de la FDA trabajarán estrechamente con la compañía para ayudarla mediante un proceso de aprobación acelerado.

Gene Saragnese, director ejecutivo de MedyMatch. (Cortesía)
«Mi expectativa es que los productos MedyMatch comiencen a llegar al mercado en 2018», dijo.
Los productos incluirán aplicaciones que leen imágenes de TC y ayudan a los médicos a priorizar los casos de acuerdo con la gravedad, y aquellos que «proporcionan una segunda lectura», rodeando áreas que podrían tener una hemorragia intracraneal, dijo Saragnese.
MedyMatch ya ha firmado acuerdos con IBM Watson, GE Healthcare y Samsung Electronics, que han comenzado a integrar el software dentro de sus soluciones de imágenes, pero están a la espera de las aprobaciones de la FDA y de Europa antes de comenzar a usarlo.
Actualmente no hay herramientas automatizadas en los departamentos de emergencia o radiología para ayudar a los médicos a detectar la hemorragia intracraneal.
Según la American Heart Association (Sociedad Estadounidense del Corazón) y la American Stroke Association (Sociedad Estadounidense de Derrame Cerebral) (AHA / ASA por sus siglas en inglés), el accidente cerebrovascular es la cuarta causa de muerte y una de las principales causas de discapacidad prevenible en los Estados Unidos. Afectando al 4% de los adultos de EE.UU., se pronostica que para el año 2030, habrá aproximadamente 3.4 millones de víctimas de accidentes cerebrovasculares anuales en los EE.UU., lo que le costará al sistema de salud $240 mil millones al año.
Fuente: The Times of Israel
Traducción: Consulado General H. de Israel en Guayaquil
